7月24日,67岁的朱先生突然出现言语不清伴右侧肢体运动障碍,家人发现后马上带其来到齐医附属一院就诊。当日,经卒中中心值班医生于悦查看患者,迅速判断、快速评估,考虑是急性脑卒中,大血管闭塞,需要介入治疗,启动卒中通道。


术中画面
我院副院长、神经内科专家刘忠锦副教授第一时间来到医院,卒中中心专家团队进入战时状态。考虑到病人既往房颤病史,经过综合评估,专家团队判断此次栓塞可能由于心源性栓子所致,静脉溶栓可能效果欠佳,建议行全脑血管造影并根据情况进行机械取栓治疗,否则病人很可能会有生命危险。经与家属充分沟通,神经介入小组立即启动,即刻急诊转运病人至导管室,此时距患者发病仅仅过去半小时左右。

全脑血管造影显示:左侧颈内动脉起始段闭塞
全脑血管造影显示患者左侧颈内动脉起始段闭塞,血栓负荷量大,手术难度较大,刘忠锦团队立即行机械取栓,经抽吸导管抽吸出大量血栓栓子,再给予支架取栓治疗,不断地努力后,终于打开了闭塞的大脑中动脉。造影显示右侧颈内动脉、大脑中动脉再通,观察10分钟后血流仍通畅,患者得救了,医护人员松了一口气。

术后血管再通影像

术中取出的血栓

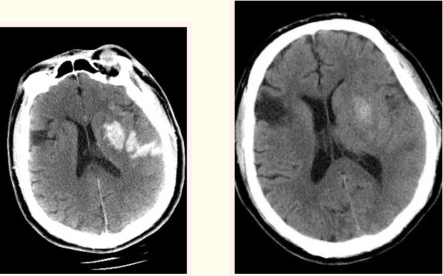
术后即刻复查头部CT造影剂外渗情况和术后24h复查头CT造影剂明显吸收
经过精心的治疗,朱大爷出院了。目前,病人可以自己走路,虽言语仍笨拙,但继续康复训练可逐渐恢复。

朱大爷与医务人员沟通