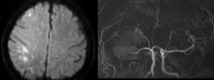
2021年11月2日,齐医附属一院卒中中心接诊一位55岁男性患者,就诊时已经意识不清,经过卒中中心夏海苗医生仔细检查后诊断为急性脑梗死,考虑大血管闭塞,立即启动卒中通道,磁共振证明为右侧颈内动脉闭塞。同时汇报王雷主治医师、王峰主任讨论,分析此患者静脉溶栓效果可能较差,最终决定给予血管内治疗。

术前影像检查
联系卒中中心介入组后,神经内科专家副院长刘忠锦、王雷主治医师及王晓宇医师迅速到达导管室,行全脑血管造影证实为“右侧颈内动脉闭塞”。与家属沟通并获得同意后全麻下行机械取栓术,在麻醉科、介入导管室医护人员的全力配合下,历时两个小时,手术圆满成功。



经过神经内科14天的努力治疗,病人恢复非常好,出院时各项功能基本恢复正常。孟大爷的女儿感激地说:“发病时不省人事,现在能说、能笑了,胳膊腿能正常活动,简直是不可思议,多亏了刘忠锦院长和他的取栓团队了”。

患者恢复良好
近年来,齐医附属一院卒中中心已经成功开展多种神经介入手术,如全脑血管造影术、颅内外血管支架置入术、动脉溶栓术、动脉取栓术、颅内动脉瘤栓塞术等等,填补了齐富地区神经介入领域的空白,为广大脑血管病患者带来希望和福音。